A 5-year follow-up radiograph showing complete root development
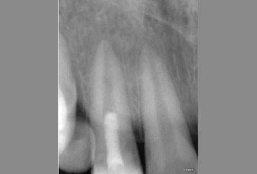
Long cone periapical radiograph of tooth 12 one month after injury