Pre operative CBCT
Working length radiograph
Post obturation radiograph
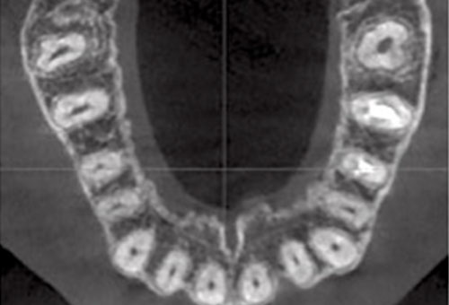
CBCT axial image showing single rooted tooth 26