Preoperative radiograph of tooth 46
Access opening showing the mesial and distal canal orifices
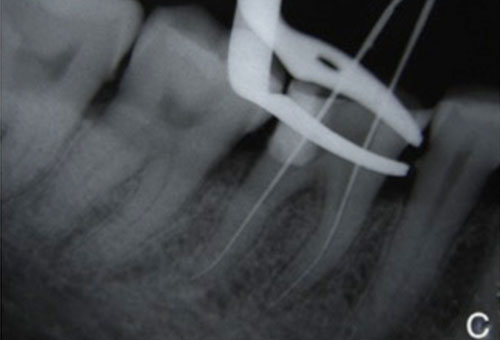
Working length radiograph
Post obturation radiograph